Каждому знакомо состояние, когда возникает головная боль, сопровождающаяся физической слабостью. Это часто происходит в конце рабочего дня, при простуде или эмоциональном напряжении. Однако такие симптомы могут указывать на более серьезные патологии, требующие обращения к специалисту. Знаете ли вы, как определить причину головной боли и что делать для ее устранения?
Причины состояния
Головная боль и слабость могут возникать по различным причинам:
- простудные или вирусные заболевания;
- воспалительные процессы в организме;
- снижение артериального давления (гипотония);
- нехватка витаминов и минералов (например, витаминов D и B12, необходимых для транспортировки кислорода к головному мозгу);
- бесконтрольный прием некоторых лекарств с побочными эффектами;
- нарушения работы щитовидной железы, сахарный диабет и другие эндокринные заболевания;
- эмоциональные нагрузки и стрессы;
- некоторые заболевания желудочно-кишечного тракта, приводящие к нарушению усвоения питательных веществ;
- сердечно-сосудистые заболевания;
- менингит;
- доброкачественные и злокачественные опухоли;
- мигрень;
- синдром хронической усталости;
- недосыпание.
Как определить заболевание?
Причины головной боли и усталости могут быть разнообразными. Как же определить, являются ли эти симптомы признаками опасного заболевания?
Мнение эксперта
Филимошин Олег Александрович
Врач-невролог, городская поликлиника г. Оренбурга.
Образование: Оренбургская государственная медицинская академия.
Важно помнить, что серьезные заболевания обычно сопровождаются рядом дополнительных симптомов. Эти признаки помогают различать различные проблемы.
ОРВИ
Описание
Задайте вопрос врачу-неврологу бесплатно
Ирина Мартынова. Закончила Воронежский государственный медицинский университет им. Н.Н. Бурденко. Клинический ординатор и невролог БУЗ ВО «Московская поликлиника». Задать вопрос>>
Группа заболеваний, характеризующихся острым воспалительным процессом в органах дыхания из-за вирусной инфекции.
Тип боли
При ОРВИ боль связана с повышением температуры и воспалением в горле, пазухах и носоглотке.
Боль чаще всего локализуется в области лба и висков, сопровождается чувством давления и тяжести.
Другие проявления
ОРВИ может вызывать повышение температуры до 38-39 градусов, заложенность носа, кашель, воспаление горла, ломоту в теле, озноб, общее недомогание и резь в глазах. Иногда возникают осложнения, такие как отит, ларингит или бронхит.
Методы диагностики и терапии
Диагностику проводит терапевт или ЛОР-врач. Лечение назначается на дому и включает: постельный режим, микстуры от кашля, сосудосуживающие капли в нос, растительные отвары для полоскания горла, чай с малиной и медом, а также средства для укрепления иммунитета (Анаферон, настойка эхинацеи, Иммунал).
Мигрень
Описание
Мигрень — это неврологическое заболевание, основным признаком которого являются сильные головные боли, связанные с нарушением работы сосудов.
Мнение эксперта
Митруханов Эдуард Петрович
Врач-невролог, городская поликлиника, Москва.
Образование: Российский государственный медицинский университет, ГБОУ ДПО Российская медицинская академия последипломного образования МЗД РФ, Волгоградский государственный медицинский университет.
При мигрени отсутствуют серьезные органические патологии, такие как травмы или опухоли.
Тип болевых ощущений
Мигрень проявляется сильными, мучительными головными болями высокой или средней интенсивности. Боли усиливаются при движении и могут быть эпизодическими или постоянными, чаще всего с одной стороны головы. Без лечения приступы могут длиться до 72 часов.
Другие проявления
Сопутствующие симптомы включают тошноту, рвоту, фонофобию (чувствительность к громким звукам), учащенное сердцебиение, частое мочеиспускание, потливость, сонливость и вялость.
Методы диагностики и терапии
Диагностику проводит врач-невролог. Диагноз устанавливается на основе анализа жалоб пациента, лабораторных исследований, рентгенографии и МРТ.
Для лечения используются успокоительные средства (экстракт валерианы, Персен, Тенотен), растительные и синтетические антидепрессанты (настойка зверобоя, амитриптилин), НПВП (напроксен, ибупрофен) и анальгетики.
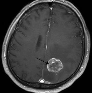
Злокачественная опухоль
Описание
Злокачественная опухоль представляет собой патологическое новообразование, опасное для жизни, состоящее из раковых клеток, способных к быстрому росту и метастазированию.
Тип боли
Интенсивность и характер боли зависят от локализации опухоли, стадии заболевания и индивидуальных особенностей пациента.
Другие проявления
На ранних стадиях опухоль может не проявляться, пока не начнется интенсивный рост. В этот момент состояние пациента ухудшается, могут возникать тошнота, утомляемость, рвота, нарушения слуха и зрения, трудности в распознавании речи, а также расстройства общей и мелкой моторики.
Клиническая картина рака разнообразна и многогранна.
Методы диагностики и терапии
Диагностика включает комплексные исследования: КТ, МРТ, рентген, лабораторные анализы, гистологию и цитологию. Лечение обычно хирургическое, с возможным назначением курса химиотерапии или лучевой терапии, а затем длительного поддерживающего медикаментозного лечения.
Менингит
Описание
Менингит — тяжелое инфекционное заболевание, характеризующееся воспалением головного и спинного мозга из-за попадания в организм бактерий, вирусов или грибков.
Может возникать как самостоятельное заболевание или как осложнение.
Тип боли
Боль очень сильная, резкая, диффузная и распирающая. Она усиливается при движении, поворотах головы, а также от резкого шума и световых раздражителей. При гнойном менингите болевой синдром особенно выражен.
Другие проявления
Пациентов могут беспокоить ломота в теле, тошнота, рвота, ригидность шеи, лихорадка, чувствительность к звукам и свету, измененное состояние сознания, раздражительность и сонливость.
Методы диагностики и терапии
Для диагностики менингита применяется люмбальная пункция. Врач извлекает спинномозговую жидкость из позвоночного канала и направляет ее в лабораторию для исследования. Диагноз подтверждается при обнаружении вредоносных возбудителей (бактерий, вирусов). Лечение менингита включает антибиотики, противовирусные или противогрибковые препараты в зависимости от типа возбудителя.
Иногда назначаются стероидные препараты.
Боррелиоз
Описание
Боррелиоз (болезнь Лайма) — инфекционное заболевание, передающееся человеку через укусы насекомых и клещей.
Тип боли
При боррелиозе наблюдаются сильные головные боли, часто локализованные в области глазного яблока, которые могут отдавать в затылок. Симптомы сохраняются даже во время сна.
Другие проявления
У больных возникают ломота и скованность в мышцах и суставах, высокая температура (до 40 градусов), тошнота, рвота, вялость, а также нарушения работы центральной нервной системы и сердечно-сосудистой системы.
Болезнь преимущественно поражает кожные покровы, нервную и сердечно-сосудистую системы, опорно-двигательный аппарат.
Способы диагностики и лечения
Болезнь Лайма диагностируется на основе клинической картины, эпидемиологического анамнеза (например, прогулка в лесу, укус клеща) и серологического исследования на наличие антител к боррелиям в сыворотке крови. Используются методы ИФА или ПЦР. Лечение комплексное, выбор препаратов зависит от тяжести заболевания. Обязательно назначаются антибиотики, а также нестероидные противовоспалительные препараты (например, Напроксен, Индометацин), иммунодепрессанты (Плаквенил), анальгетики и общеукрепляющие средства.
Артериальная гипертония
Описание
Гипертония — заболевание сердечно-сосудистой системы, характеризующееся стойким повышением артериального давления (140/90 и выше).
Тип боли
Боль при гипертонии может быть сжимающей или генерализованной, пульсирующей, иногда возникает ощущение плотной повязки на голове.
Обычно она сильнее проявляется по утрам, а в течение дня затихает.
Другие проявления
Среди других симптомов — тошнота, заложенность и шум в ушах, пелена в глазах, учащенное сердцебиение, давление в глазах, головокружение, вялость и подавленность.
Методы диагностики и лечения
Диагноз ставит врач-кардиолог на основе анамнеза, жалоб пациента, холтеровского мониторирования, ЭКГ и регулярного измерения давления. Лечение комплексное и медикаментозное.
Специалист может назначить блокаторы рецепторов ангиотензина, диуретики, антагонисты калия и препараты для очищения сосудов.
Абузусная головная боль
Описание
Специалисты называют эту головную боль «рикошетной» или «лекарственной». Она возникает из-за злоупотребления аптечными препаратами и относится к вторичным формам цефалгий, тесно связанным с мигренью.
Тип боли
Боль проявляется двусторонней цефалгией сжимающего или давящего характера, умеренной или слабой интенсивности. Она может быть диффузной или локализоваться в лобно-затылочной или височной области.
Боль усиливается при интеллектуальной и физической нагрузке.
Другие проявления
Сопутствуют усталость, вялость и подавленное настроение.
Методы диагностики и терапии
Диагностика основывается на анамнезе и расспросе пациента о принимаемых препаратах. Для снятия абузуса снижают дозировку лекарства или полностью его отменяют, назначают средства от цефалгии, иногда антидепрессанты.
При тяжелом состоянии может потребоваться детоксикация.
Другие причины
Слабость и головные боли могут возникать не только при перечисленных заболеваниях, но и при других состояниях:
-
Заболевания придаточных пазух носа (гайморит, этмоидит, фронтит). При синуситах пациенты жалуются на головную боль, общую слабость, заложенность носа, давление и тяжесть в голове, особенно при наклоне.
-
Аллергические реакции. Эти симптомы часто проявляются весной, во время цветения, при аллергии на пыльцу. Пациенты отмечают головную боль, сонливость, заложенность носа, слезотечение, сыпь и другие признаки поллиноза.
-
Гиперсомния — это состояние, характеризующееся длительным ночным сном без объективной необходимости и дневной усталостью. Основные признаки включают сонливость, усталость и головную боль. Астения является одной из форм гиперсомнии.
-
Анемия (малокровие) также вызывает вялость, усталость и болевые ощущения. У пациентов наблюдается снижение уровня гемоглобина, недостаток функционирующих эритроцитов и нехватка кислорода в крови, что приводит к неприятным симптомам.
-
Сахарный диабет и другие эндокринные проблемы могут вызывать аналогичные симптомы. Диабет сопровождается повышением уровня сахара в крови, пониженным давлением, головокружением, сонливостью и жаждой.
Это лишь часть заболеваний, при которых могут возникать слабость и головная боль.
Истинную причину этих симптомов может определить только специалист.
Алгоритм диагностики
Способы и методы диагностики подбираются индивидуально. Сначала врач осматривает пациента, оценивает характер жалоб и расспрашивает о перенесенных болезнях и хронических недугах. Затем уточняется локализация болей, их длительность и частота возникновения.
Примерный список вопросов
- Как долго вас беспокоит болевой синдром и слабость?
- В каком месте вы ощущаете боль?
- Как часто возникают эти симптомы?
- Ощущаете ли вы тошноту во время приступов?
- Бывают ли у вас головокружения?
- Увеличиваются ли симптомы при физической нагрузке?
- Влияет ли ваше состояние на общую активность в течение дня?
- Замечали ли вы похожие симптомы у родственников?
- Как вы снимаете неприятные ощущения?
- Какие лекарства вы принимаете в настоящее время?
- Какие заболевания у вас были в последние месяцы?
- Есть ли у вас или ваших ближайших родственников хронические заболевания?
Если консультации с пациентом недостаточно, врач назначает дополнительные методы диагностики, такие как лабораторные анализы, ЭКГ, МРТ и другие.
На основе полученных данных будет установлен точный диагноз.
Как снять симптомы самостоятельно?
Если неприятные симптомы вызваны физической усталостью, умственными нагрузками или напряжением в течение рабочего дня, болевой синдром можно устранить самостоятельно, без лекарств.
Положительное влияние оказывают пешие прогулки на свежем воздухе, контрастный душ, теплая ванна с морской солью, проветривание помещения и медитация. Можно просто полежать, расслабиться, послушать спокойную музыку или почитать легкую книгу.
При головной боли можно приготовить ароматный чай с листьями мяты, шиповником, лимоном, клюквой или ромашкой. Эти напитки укрепляют, успокаивают, придают силы, повышают иммунитет и улучшают работу мозга.
В некоторых случаях допустим прием простых обезболивающих средств (например, Ношпа, Спазган).
Однако помните, что у каждого средства есть противопоказания и побочные действия, поэтому лучше проконсультироваться с врачом перед их применением.
В каком случае обращаться к врачу?
Пациенту важно знать: если головная боль и усталость сопровождаются другими симптомами, такими как тошнота, рвота, нарушение зрения, чувствительность к громким звукам или дезориентация, необходимо немедленно обратиться к врачу!
Посмотрите видео на эту тему.
https://youtube.com/watch?v=Cn2VSzeuKQo
Заключение
Слабость и головная боль — распространенные симптомы, с которыми врачи часто сталкиваются. Обычно они не представляют угрозы для здоровья и легко устраняются домашними или легкими медикаментозными средствами.
Однако в некоторых случаях эти признаки могут указывать на серьезные заболевания. Поэтому врачи советуют внимательно следить за своим самочувствием и при необходимости не откладывать визит к врачу.
Как известно, многие считают себя знатоками в двух вещах: управлении государством и лечении. Если с управлением страной удается справиться не каждому, то многие ставят себе диагнозы самостоятельно. Чихание — простуда, боль в пояснице — остеохондроз, расстройство стула — следствие неправильного питания. В аптеках можно услышать множество разговоров о том, как люди подбирают препараты.
Тем не менее, серьезные болезни пользуются нашей беспечностью и часто маскируются под знакомые и неопасные симптомы. Подбирая таблетки под симптомы, мы можем упустить время. Даже рак на ранней стадии в некоторых случаях излечивается на 95%, а на более поздних — увы.
Мы собрали коварные симптомы, которые могут вас запутать, и рекомендуем при возникновении любой продолжительной боли или проблем со здоровьем обращаться к врачам. Только по результатам клинических анализов можно поставить правильный диагноз. Итак…
1. Надоедливый кашель
Кажется, что кашель — это просто простуда. Люди покупают в аптеке «что-нибудь от кашля» и начинают пить антибиотики.
Однако сухой кашель, который не проходит, постоянное першение в горле и затрудненное глотание могут свидетельствовать о гастроэзофагеальном рефлексе, когда содержимое желудка забрасывается в пищевод. Часто при этом возникает и изжога, но многие не связывают эти симптомы. Нелеченый ГЭР может привести к язве и другим последствиям.
Кашель и чихание могут быть не только простудой, но и аллергией, которая, если не лечить, может привести к астме. Частое покашливание может сигнализировать о воспалении щитовидной железы, сопровождающемся зябкостью, потливостью и слабостью. Определить причину должен эндокринолог.
Рак легких также может начинаться с безобидного кашля, который длится долго. Другие симптомы могут появиться только на поздних стадиях, так как у легких нет нервных окончаний. Поэтому важно проходить флюорографию раз в год.
Если кашель усиливается, особенно в положении лежа, и появляются одышка, быстрая утомляемость или отеки, это может указывать на сердечные заболевания, вплоть до инфаркта.
Если кашель длится более двух недель, немедленно обратитесь к врачу!
2. Ни на что нет сил
Иногда вы чувствуете себя уставшим, хотя ничего не болит. Каждый шаг кажется непосильной нагрузкой. Эти симптомы могут говорить о простой усталости или о депрессии, требующей медицинского наблюдения.
Однако за обычной усталостью могут скрываться опасные заболевания:
-
Сахарный диабет приводит к упадку сил, так как организм не может усваивать глюкозу. В результате образуются токсичные вещества, вызывающие апатию и слабость. При длительной усталости важно сдать анализ крови на сахар.
-
Ишемическая болезнь сердца может проявляться исключительно слабостью, без боли, что делает инфаркт неожиданным. Если к слабости добавляются отеки ног и одышка при физической нагрузке, срочно к врачу и на ЭКГ!
-
Онкологические заболевания на ранних стадиях могут проявляться только слабостью и апатией. Растущая опухоль потребляет много энергии и снижает гемоглобин, что приводит к усталости и вялости. Важно вовремя сдать анализ крови.
-
Дефицит витамина D и B12 может вызывать слабость. Витамин B12 регулирует созревание эритроцитов, а его недостаток приводит к анемии. Витамин D необходим для работы рецепторов мозга, и его дефицит может вызвать депрессии и слабость.
В любом случае отсутствие сил — это повод для расширенного анализа крови. Силы не исчезают просто так.
3. Резкая потеря или набор веса
Если вы теряете вес без видимых причин, это может быть тревожным сигналом. Необъяснимая потеря веса может указывать на серьезные заболевания, включая рак, который забирает питательные вещества. Также потеря








